Google
4.9

HELLO

Welcome!

At our dental practice, patients always come first

At Priors Hall Dental, our mission is to enhance the health and wellbeing of our patients with exceptional care and compassion, in a welcoming environment. As your local dentist, Corby, we’re proud to make a positive impact on our community by:

  • Prioritising the dental health of our patients
  • Helping our patients be their healthiest self
  • Fixing dental concerns and alleviating pain
  • Treating others the way we’d like to be treated
welcome thumb1
welcome thumb2
welcome thumb3
welcome thumb4
location icon

Address

4 Holland Square, Hampstead Road, Corby NN17 5GT

Hours icon

Hours

Mon-Thurs: 8.15am – 7.30pm Fri: 9am - 3pm Weekends: by appointment only

Looking after you

New patients?

We are welcoming new patients to our dental practice, Corby. Register today and your visit can include examination, x-rays and cleaning!

Book Now Learn More
quote

Everyone is incredibly friendly. Lovely experience every time I'm there. And if I have any issues they'll do everything they can to see me as soon as possible.

MEET THE TEAM

We’re here for you

As a team, we have worked together for over 5 years.

Meet Dr. Kamran Ahmed, Dr. Ritesh Patel, and Dr. Suchi Vaidya. As a team, we have worked together since 2017. With many years of experience between us, we are proud to work alongside a great team. Led by our Business Manager, Rachael Thompson, our team is committed to building trust with patients, through our core values:

  • Integrity in all our actions
  • Our passion drives our quality to do the best in what we do
  • Convenience for patients
  • Staying at the forefront of dentistry
  • Creating a positive and uplifting atmosphere
  • To reduce the plastic footprint that dentistry has on the planet
  • Dedication to cleanliness and safety
Book Now

What sets us apart?

EXPERIENCE

A unique journey

We’ve designed a patient experience that stands out from other dental clinics. Here you’ll find a top-rated service, a team who remembers your name, and empathetic support if you’re feeling a bit anxious. Don’t worry about brushing up on oral health trivia or deciphering treatment costs — we’ll clearly explain everything so you know exactly what to expect when you visit our dental practice in Corby.

About Us

Happiness Matters

From sustainable coffee and tea, to in-room TVs, music and comfortable dental chairs — just sit back and relax. We’ll ensure your comfort.

Valuing innovation

Modern equipment like 3D digital scanners, Intra-oral cameras, digital smile design and synchronised laboratories to allow for easier treatments and better results.

Attention to safety

We exceed all CQC and CDO guidelines. Our protocols include medical-grade air purifiers, disposable gowns, and FFP3 masks.

FEES & OFFERS

Payment Options at Priors Hall Dental

offers icon1

We accept most major insurance plans

offers icon1

Not insured? Check out our Membership plan

offers icon1

Or you can pay as you go! See our Fee List

Or give us a call on 01536 214144, and we can answer any of your finance questions!

Learn More

Initial Cosmetic Consultation £50

Learn More

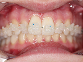
Invisalign package Offers

Learn More

Composite Bonding package

Learn More

SMILE GALLERY

We love to help our patients smile

Learn More
smile before thumb

Before

smile after thumb
After
smile before thumb

Before

smile after thumb
After
quote

I can't recommend this dental practice highly enough! I used to have a fear of going to the dentist, but their kind…
-

Verified Patient - Doctify

quote

Got my Invisalign from here. Amazing staff and amazing results. The whole experience felt really personable
-

Verified Patient - Doctify

quote

Let me tell you about the amazing team at Priors Hall Dental! I needed a bit of a smile makeover for my…
-

Verified Patient - Doctify

quote

I had my teeth Straightened with Priors Hall Dental and had the smoothest experience. I am so happy with my results!
-

Verified Patient - Doctify

quote

The team here are incredible! They have been super supportive and helped me with all of my queries! They were able to…
-

Miss Bruce

quote

Amazing!. My first time going private and like many after covid, it's really hard to get an appointment with the NHS. I…
-

V. Robinson

quote

Fantastic experience! Going to the dentist can be daunting for some but be rest assured your experience at Priors Hall will be…
-

A. Bloomfield

quote

Being a nervous patient, as no doubt many are, everyone here were very considerate and made me feel at ease and I…
-

J. Whittington

quote

Wow this practice looks amazing you can tell a lot of thought and effort has gone into the design and look you…
-

A. Plumley

quote

Excellent Dental Surgery. Excellent Customer Service. Innovative Treatments. Beautiful environment. Brilliant 🤩 Dentists and Dental Nurses, Racheal the Surgery manager, very attentive…
-

L. Gillan

quote

Very friendly and welcoming from reception to the chair!! Excellent customer service!! Looking forward to starting my cosmetic dentistry journey with them.
-

L. Elcock

quote

I am so glad that we have such a beautiful, professional and modern dental center in the vicinity. No pain, nice atmosphere…
-

A. Czarnecka

quote

I can’t thank them enough for all their help, encouragement and advice. Such great service for my first dental visit in years.…
-

C. Fountain

quote

The patient care within this practice is second to none! from enquiring to booking my first appointment. The practice is decorated to…
-

F. Mgcreevy

View All Testimonials

TREATMENTS

A range of dental treatments tailored to suit the needs of every one of our patients

HEALTH

All your dental needs cared for
Learn More
treatment4 Restorative Dentistry
General Dentistry
  • Check ups
  • Kids
  • Membership Plans
  • Hygiene
  • RCT
  • Fillings
  • Extractions

BEAUTY

Brighten up your smile
Learn More
treatment4 Restorative Dentistry
Cosmetic Dentistry
  • ABB
  • Diamond Invisalign® provider
  • Angel Aligners provider
  • Teeth Whitening
  • Veneers
  • Composite bonding

REJUVENATE

Enhance your natural self
Learn More
treatment4 Restorative Dentistry
Facial Aesthetics

RESTORATION

Restore your bite, smile and confidence
Learn More
treatment4 Restorative Dentistry
Restorative Dentistry
  • Crowns
  • Inlays
  • Onlays
  • Bridges
  • Dentures
  • Implants

LOCATION

Priors Hall Dental

location icon

4 Holland Square, Hampstead Road, NN17 5GT

Opening hours

hours icon

Monday - Thursday: 8am – 8pm

Friday: 9am - 3pm

Weekends & Evenings: by appointment only

See you soon
Book Online

Get in touch

instagram
Google Rating