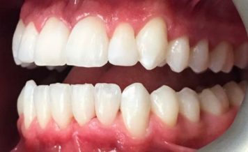
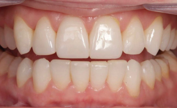
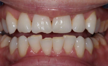
What is the treatment process?
Clear Aligner treatment starts with a consultation with an Clear aligner-trained dentist. Your dentist will evaluate your smile and then map out a precise, customised digital treatment plan that showcases the step-by-step transformation of your smile. Once you approve your plan, your unique aligners will be created. You will wear each set of aligners for 20 to 22 hours a day, changing to a new set of aligners every 1 to 2 weeks, as directed by your dentist. Each set of aligners will gently and gradually shift your teeth into place, according to your treatment plan, until you reach your beautiful new smile.
How long does Invisalign/Angel Aligner treatment take?
Depending on the complexity of your case and your goals, will determine how long your treatment will take. Once you have a suitability check, the dentist will be able to confirm the duration of your clear aligner treatment
What are Invisalign clear aligners made of and what do they look like?
Invisalign clear aligners are made of flexible plastic — specifically, a patented thermoplastic material called SmartTrack created exclusively for Invisalign treatment.
How do Angel Aligners align your teeth?
Using artificial intelligence, computer simulations and the application of new generation self-adaptive material masterContol S, Angel Aligner Select provides you with a clinician-prescribed treatment plan. Your aligners for each stage are customised to gradually move your teeth into the desired position.